长期的潮湿环境让张先生踝关节患上风湿性关节炎,各种疼痛让他痛苦不已,膏药贴了一张又一张可就是不见好。采用手术治疗两年后,在快速劳作中反复,疼痛剧烈,肿胀明显,已经无法穿鞋,痛苦万分,生活状况一落千丈。在朋友的介绍下,张先生来到我院进行治疗。经过详细的精准化分层诊断技术检查,我院陈建春主任为他采用规范化治疗方案进行治疗,治疗三个月后,张先生复查风湿各项指标恢复正常,半年后随访病情无再发作迹象。
该患者的相关情况,由陈建春主任的助理医生跟踪记录,内容属实
任何同行与机构未经本人同意,不得转载
=============================
患者姓名:张先生 年龄:48岁 病种:风湿性关节炎 病史:10年
病情描述:
张先生从事捕捞工作,双脚经常浸在水里,长期潮湿的工作环境,让张先生患上了风湿性关节炎。张先生的踝关节开始出现疼痛,像那种被拉扯的疼痛,在阴雨天气的时候疼的更加剧烈。刚开始的时候隔一个月就会发病快速,后来慢慢发展成一个星期快速。膏药贴了一张又一张可就是不见好,而且疼痛在快速次加重,发病频率加快变成了每天都疼,疼痛也渐渐演变成被撕裂的痛楚,疼起来的时候不能行动。
	
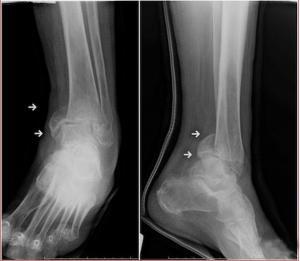
(图:入院时,张先生所照射的X光图,踝关节肿胀)
张先生在这过程中并未放弃治疗,去过当地的很多医院,用过药物治疗,也用过理疗,都没有作用。后来无奈之下,张先生在当地医院医生的建议下接受了手术治疗。采用手术治疗两年后,病情在快速劳作中再次反复,而且疼痛剧烈,肿胀明显,已经无法穿鞋,痛苦万分,生活状况自此一落千丈。此后,张先生一家就开始打听哪里的医院可以治好风湿性关节炎。在朋友的介绍下,张先生的儿子通过网上查到我院采用先进技术个体化治疗风湿性关节炎,于是就在网上预约了我院陈建春主任的看诊号,并于第二天来院进行治疗。
治疗过程:
张先生在家人的搀扶下来到医院的时候,因脚踝肿胀的无法穿鞋只得用布包裹,已经不能正常走路,导医在看到这种情况之后就推来轮椅便于张先生走动和看诊。
陈建春主任详细的了解了张先生的患病情况和诊疗经历后,安排他进行了风湿性关节炎较的检查。
检查显示:踝关节畸形明显狭窄,肿胀压痛,脚踝关节活动受限,关节间隙尚可见,骨质疏松明显,并有演变为晚期的趋势。
HD-热层析检测:发现患者踝关节及周围组织出现炎性反应,及明显炎性增多现象,并且炎性开始向膝关节发展。
数据显示:C-反应蛋白32.15mg/L,血沉68mm/h ,血小板478×10∧9/L,抗CCP抗体170RU/ml。
针对张先生患病已达10年的情况,陈建春主任申请医生联合会诊,经过商讨,决定安排他采用中医微创可视针刀镜技术进行治疗,然后配合中成药作为后期调理。从张先生风湿性关节炎的发病病因和机理去考虑,多种学科出发,迅速解除张先生的痛苦,根据张先生的检测结果进行科学的组合、多维的、立体的综合的治疗。

(图:三个疗程结束后,X光片检查患者踝关节恢复正常)
恢复情况:
治疗2天后,张先生的疼痛就没有之前那么剧烈了,7天后疼痛又有所减轻,脚部肿胀有了消退表现。在治疗一个疗程结束后踝关节肿胀现象明显消失,已经可以缓慢行走,疼痛的剧烈程度大幅度下降。两个疗程结束后,张先生的踝关节基本恢复正常状态,行走没什么问题。三个疗程治疗结束后复查显示,C-反应蛋白降至2.69mg/L,血沉下降至20mm/h,其他检验指标正常,踝关节肿胀部位有效恢复正常,疼痛也已消失,可以正常走路。
现在,张先生已有效恢复健康,重新开始了自己的人生。他辞掉了以前的工作,和妻子两个人在家开了个门店。在上次的随访中,张先生说自己的病到现在一直没有犯过。他相信,告别了以前的工作环境,诱因离自己远去,风湿性关节炎也不会再纠缠自己。
文章部分文字、图片、数据、视频等内容信息来源于互联网,版权归原作者所有,如有侵权请立即联系删除。