薛女士被风湿性关节炎折磨了六年,六年来四肢关节持续游走性疼痛,膝关节更是肿胀的不行,行走时行动关节咯吱响,并伴有胳膊麻木现象。接受药物治疗和针灸治疗,起初略有效果,但后期抑制不住病情发展。2014年,来到我院接受治疗,恢复健康后至今病情再未发作。
该患者的相关情况,由马友文主任的助理医生跟踪记录,内容属实
任何同行与机构未经本人同意,不得转载
=============================
患者姓名:薛女士 年龄:52岁 病种:风湿性关节炎 病史:6年
患病经历:
薛女士在2008年3月的时候出现遇冷四肢关节疼痛现象,起初以为自己是更年期作祟,就没上心,后来经常胳膊麻木,没法正常做家务,影响到正常生活。自行吃了止痛消炎后疼痛缓解,但是之后早起四肢关节晨僵半小时,需要活动好一会才会好转,怕病情发展越来越严重,薛女士去医院进行检查。医生诊断后说薛女士患上风湿性关节炎。
	
(图:患者膝关节疼痛)
治疗过程:
药物治疗:诊断风湿后,医生开出青霉胺、柳氮磺胺吡啶、氯喹进行治疗。疼痛发作时吃药缓解,坚持药物治疗三年来,关节游走疼痛加重,吃药后无效,加大药量又出现拉肚子和呕吐现象。意识到吃药不是有效之计,于是决定尝试其它治疗方法。
针灸治疗:在邻居的建议下,薛女士尝试针灸治疗,针灸治疗后,膝关节肿胀症状减轻。四肢关节疼痛缓解,胳膊麻木现象消失。坚持针灸治疗两年,2013年6月针灸治疗结束后,出现关节活动不利现象,行走时行动关节咯吱响,胳膊麻木现象反复,头晕目眩的差点跌倒。
个性用药、规范化治疗:药物治疗和针灸治疗后,病情发展加重,肿胀的膝关节令她无法正常行走,需要家人搀扶,生活严重受到影响。有次看到电视中马友文主任介绍风湿病的防治知识。就此看到了摆脱风湿的希望,了解到马友文在我院任主任后,提前在网上预约了马友文主任的看诊号。
到院检查后发现,薛女士四肢关节压痛明显,双膝关节异常红肿,超敏C反应蛋白高达97.5mg/L,诊断为风湿性关节炎中期。规范化治疗三个疗程后,关节疼痛肿胀消失,行动关节活动无声响,未见关节麻木现象,膝关节能够自由屈伸、下蹲、行走。超敏C反应蛋白降至4.3mg/L,类风湿因子18.5IU/ml,临床诊断风湿病症消除恢复健康。

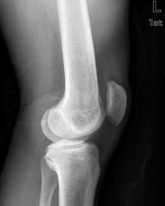
(图:患者治疗后左膝关节X线片)
治疗结果:
接受治疗后,每个月薛女士都来院检查,检查指标显示超敏C反应蛋白低于5mg/L,为正常水平,没有关节不适症状。四次检查结束后,马友文说她的风湿性关节炎病症已经有效消除,无需再来复诊,只要注意保护好关节就可以了。一年后随访发现,薛女士在家扫地、洗衣灵活自如,检查后没有异常症状,薛女士自己也表示治好风湿性关节炎后浑身有劲,特地让我们转达对马友文主任的感谢之情。
文章部分文字、图片、数据、视频等内容信息来源于互联网,版权归原作者所有,如有侵权请立即联系删除。