秦女士患有风湿性关节炎五年,但是因为治疗方法选用不当,差点因此丧命,经历这快速之后秦女士决心坚持科学治疗,较终经朋友介绍来到我院,马友文主任接诊后为其系统化治疗后重新找回健康。
该患者的相关情况,由马友文主任的助理医生跟踪记录,内容属实
任何同行与机构未经本人同意,不得转载
=============================
患者姓名:秦女士 年龄:35岁 病种:风湿性关节炎 病史:5年
患者病情:
秦女士2009年出现风湿性关节炎症状,双膝关节一遇冷就疼痛无比,并且皮肤发白。秦女士当时想着多穿些衣服包裹一下就好了,但是不曾想,四肢关节开始出现肿胀麻木的现象,还经常头晕目眩。在家人劝说下去医院接受检查,医生诊断为风湿性关节炎,在医生建议下接受西药治疗,吃药四年药效越来越差。后来在当地老中医那求来偏方,刚开始服用一个月出现呕吐现象,咨询老中医后说是开始起效,继续服用后就可治好风湿性关节炎,坚持半年后出现口吐白沫现象,经抢救后挽回性命。后来决心科学治疗,朋友介绍后来到我院。
检查分析:
外周血白细胞计数升高,高达11×109/升(即11000/立方毫米),中性粒细胞比例也明显上升,高达85%,出现核左移现象。血沉和C-反应蛋白升高,血沉达87毫米/小时,C-反应蛋白在42毫克/升。RF(-)(类风湿因子)和ANA(抗核抗体)均为阴性。X线片显示膝关节软组织受损。

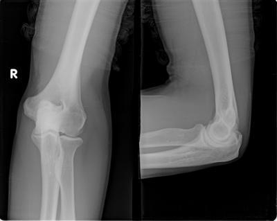
(图:患者肘关节疼痛,关节软组织受损)
治疗经过:
秦女士叙述了偏方治疗险丧命后,马友文主任表示我院针对不同病情的风湿性关节炎患者制定个体化的治疗方案,通过药物抗炎止痛,快速控制病情,利用经筋刀疏通经络通道对免疫功能进行调节,同时通过氦氖激光技术进行巩固治疗,达到功能恢复,提升患者自身免疫功能。
治疗当天,秦女士就感觉四肢关节疼痛明显减轻,关节肿胀现象也有些削减的趋势。于是她对这个治疗充满信心,也对马友文主任充满信任。三个疗程治疗结束后,秦女士一脸的兴奋,她说自己的风湿症状消失了,疼痛红肿现象有效不见,也没有头晕目眩、恶心呕吐,关节活动自如。马友文主任检查后发现,行动关节正常,未见异常,受损关节组织得到恢复,血压等检查均正常。

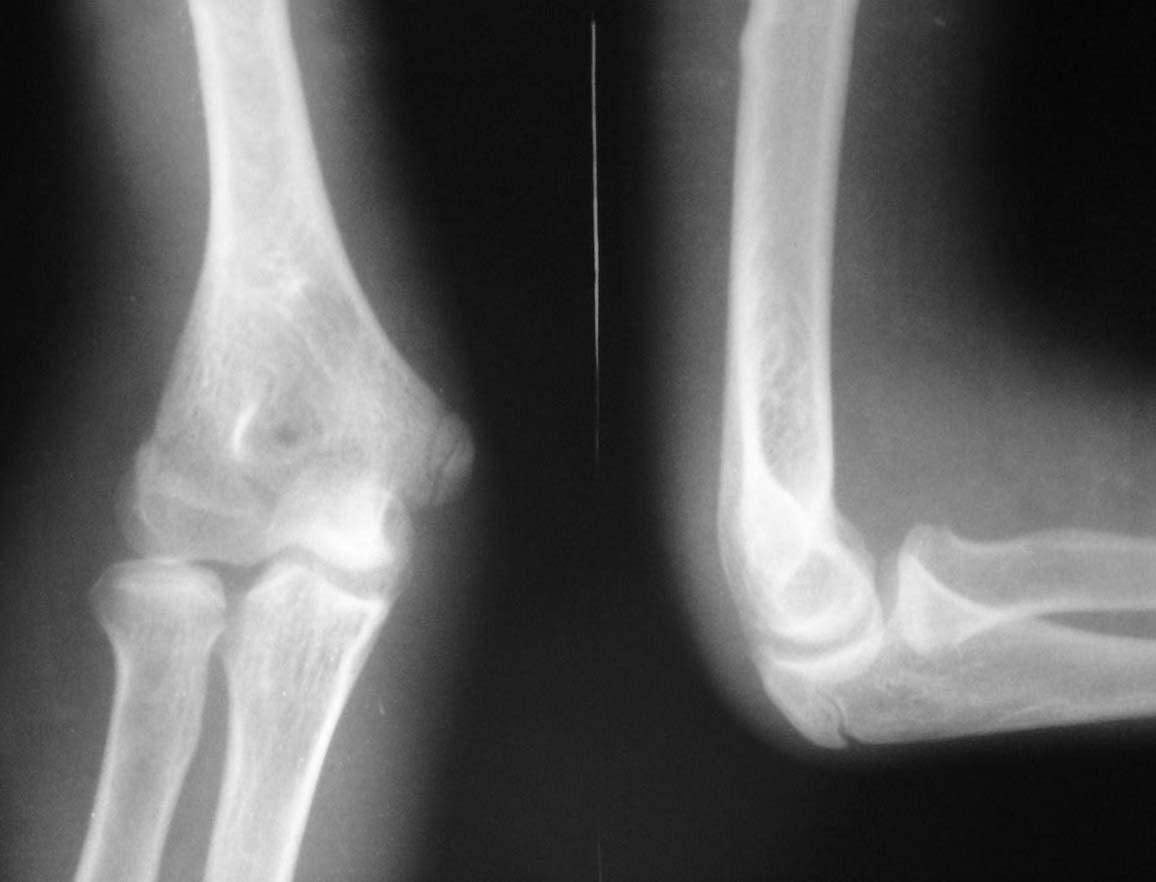
(图:患者治疗后肘关节X线片示)
治疗结果:
治疗结束后,马友文主任采用我院全新引进的HD-热层析检测系统未患者检查,发现患者各关节已无炎性反应情况,各部位风湿症状已消失,达到临床康复标准。
恢复健康后秦女士每天合理饮食、正常作息、经常锻炼,随访至今无病情再未发作过。
文章部分文字、图片、数据、视频等内容信息来源于互联网,版权归原作者所有,如有侵权请立即联系删除。