该患者朋友相关情况,本院已严格审核,属于真实
任何同行与机构未经本人同意,不得转载
============================
刘女士是一位普通农民,她干活勤快,腿脚利落,用自己多年的操劳养育了一双儿女。眼看儿女们都已成人,成了家立了业,刘女士也到了该享受天伦之乐的时候,她却发现自己膝盖偶然会有些疼痛,粗心的刘女士以为是年龄大了,腿脚不好使了,并没留心。
直到后来,慢慢地膝关节也出现红肿麻木的症状,甚至走路的时候也疼痛难忍。再到后来,连手肘屈伸也困难了,刘女士这才着急起来。儿女们了解情况后,立刻把母亲送到附近的医院,经过检查发现刘女士患上了风湿性关节炎。此后,刘女士一直谨记医生的叮嘱,按时吃药,但是疼痛并没有随之消失,反而随着时间的推移而日益加重。
没过多久,刘女士双膝因为疼痛而不能走路,每天只能坐在轮椅上,而她的手肘也无法正常活动,还要每天承受疼痛的煎熬。
多方求医无果花光积蓄
孝顺的儿女不忍心看母亲受折磨,带刘女士去各大医院做手术、吃中药。开始的时候,医院给开的一些止疼药暂时让刘女士疼痛感减轻,可每次都是无一例外的疼痛再次发作、病情加剧。
四处奔波的刘女士迅速消瘦下来,眼看儿女们操心出力,不仅花光了家里的积蓄,还要儿女们整日伺候,刘女士真想一死百了。
重大转折:慕名来院求医
一次偶然机会,儿女们打听到成都风湿医院治疗效果不错,于是通过网络查找,并进行了咨询,了解到医院拥有多项先进科学的治疗技术,治好了很多患者的风湿病患者。
抱着试试看的态度,刘女士在老伴儿和儿女的陪伴下,于2013年12月来到了成都风湿医院,由陈建春主任接诊。
【来院检查】
HD-热层析检测:患者双膝关节及周围组织出现炎性反应,血管处充盈,血液状态不佳。
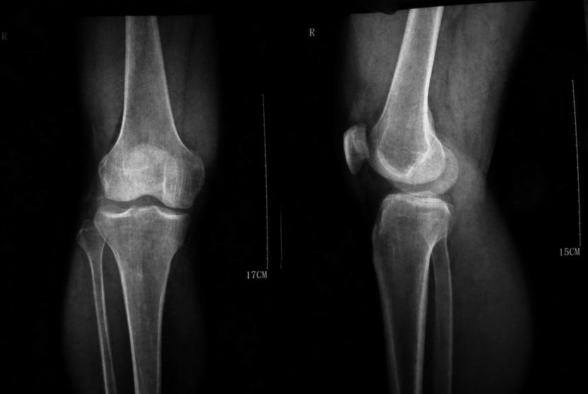
X线示:双膝关节边缘及髌骨底呈唇样改变,相应关节面不光整;膝关节间隙呈内窄外宽。

(图:刘女士初到院时膝关节透视图)
【来院治疗】
陈建春主任根据刘女士的病情和身体状况,为其制定了详细的诊疗计划,决定为其施以我院科学中医微创可视针刀镜技术。中医微创可视针刀镜技术在无菌净化环境下进行治疗,微创可视治疗,直达患者关节病灶,可有选择性的将患者病变足足清除,不损伤正常组织,治疗高效好于传统微创治疗。
治疗后,再配合我院开具的清热解毒的中药,加速人体恢复进程,改善人体机能,调节人体免疫力,来缓解刘女士的痛苦。同时,根据她的体质和服药反应,为其施以相应的食膳疗法,来为她调节体质和提高疗效。
【治疗效果】
经过一系列的治疗,一周后,刘女士全身关节疼痛明显缓解,膝关节红肿也有消失迹象。二周后,全身关节几乎不再疼痛,红肿部位也已经消退。一个月后,已经能独自站立,依靠扶手进行缓慢行走,手肘关节活动也正常了。两个月后,整个人轻松了许多,红肿疼痛全部消失,走路也和正常人一样。
两个月后,到院第一次复查时,陈建春主任在查看化验结果后,告诉她风湿性关节炎病症有效消除。第二次复诊,刘女士的儿女们给陈建春主任送来锦旗,表达他们此时此刻的感激之情。

(图:刘女士送来锦旗表示感谢)
【随访患者·刘女士近况】
我院医务随访人员一年后对患者进行电话随访,刘女士至今没有再出现关节不适异常症状,据刘女士说:现在吃得好、睡得安,身体治疗后不仅自己高兴,孩子也不用每天担心了,老伴儿也不用老为了照顾她受累了,千言万语都道不尽对成都风湿医院的感激!
文章部分文字、图片、数据、视频等内容信息来源于互联网,版权归原作者所有,如有侵权请立即联系删除。