该患者朋友相关情况,由陈建春主任的助理医生跟踪记录,内容属实
任何同行与机构未经本人同意,不得转载
=======================================================
患者姓名:刘先生 年龄:37岁 病种:类风湿性关节炎
成都风湿医院入院记录
刘先生,家住内江市隆昌县,4年前出现右手指关节疼痛,肿胀呈渐行性加重。曾于当地治疗无效,疼痛肿胀再度加重,关节功能受限,生活不能自理。为求早日恢复健康,经他人介绍入住我院,确诊为类风湿性关节炎早中期。
医生联合会诊检查结果
体格检查:四肢关节肿胀,局部皮温偏高。双踝关节肿胀,皮温偏高,功能活动度尚可。掌指关节及腕关节肿胀、变形,晨僵>1小时。
辅助检查:血常规示:RF(+),C-反应蛋白26.52mg/L(H),血沉64mm/h(H)。
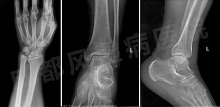
我院DR示:双手骨质疏松,部分掌指、近指关节狭窄,模糊,小囊样变,关节软组织肿胀,双踝软组织肿胀,间隙变窄,双膝关节软组织肿胀,关节间隙变窄,骨质疏松,关节缘骨赘形成。

(图:刘先生入院后,DR示指关节狭窄,双踝关节肿胀模糊)
刘先生临床治疗过程
根据检查结果,陈建春主任会同医生组讨论,决定给予刘先生个体化治疗,采用经筋刀并辅以中医定向透药治疗,促进药物快速渗透病灶,改善局部血液循环,达到消炎、消肿、镇痛、疏通经络、松解粘连,调节和改善局部循环的作用。

(图:刘先生治疗后,关节红肿现象消失,恢复正常)
两个疗程后:刘先生自述疼痛明显减轻,行动自如了许多。出院后定期到医院复查,我院HD-热层析检测系统检测显示,患者关节炎症消失,情况十分乐观,已无疼痛感,关节活动自如,病情得到改善,现已能正常的生活。
至今已停药,确定为临床康复,为表示对陈建春主任的谢意,特制一面锦旗来院赠予陈建春主任并合影留念。
文章部分文字、图片、数据、视频等内容信息来源于互联网,版权归原作者所有,如有侵权请立即联系删除。