导语:有关强直的病发症一直都是广大的强直患者比较关心的一个话题,强直的并发症有很多,但是比较常见的并发症只有四种,也是临床上很多患者容易患有的疾病,早日清楚常见的病发症对于强直患者的预防和治疗有着很特殊的意义,下面我们就来看看强直性脊柱炎有哪些常见的并发症,以帮助患者朋友早日脱离疾病的煎熬之中,强直患者早日获得幸福的生活是很多医院共同的心声!
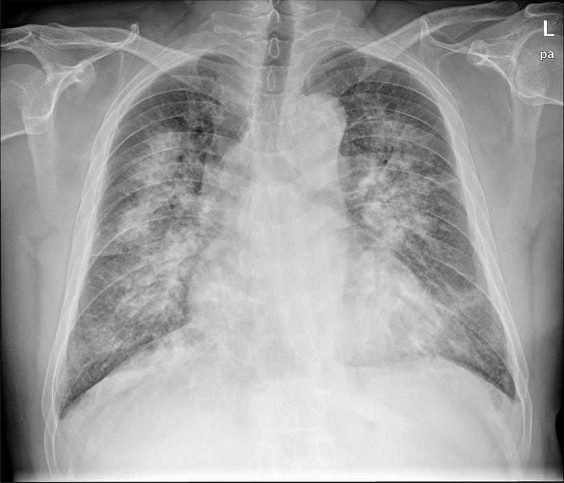
肺部病变---
强直比较常见的并发症之一就是患者的肺部会出现一些病变的情况,尤其是患者的病史比较漫长的更容易出现这样的病变,同时还会随着患者的病情的不断地加重,病变的程度也会不断地加重,所以,患者较好能够让自己的肺部得到一些好的锻炼,减轻肺部病变的症状!

强直患者的肺部病变
那么,患者平时又该如何对待自己的肺部病变的情况呢?又有哪些方法可以帮助自己预防肺部病变呢?
骨质疏松---
对于强直患者来说,骨质疏松的情况还是比较多的,所以患者应该多补充一些钙质!
心血管病变---
心血管病变的研究主要是对强直患者的一种身体解剖得出来的结论,通过对患者的身体的研究发现,强直患者出现这种病变的原因和症状还是比较多的,一旦出现心血管疾病的病变意味着患者的疾病已经进入到膏肓了!
骨折---
强直患者出现骨折的情况也是比较多的,骨折多是在患者出现骨质疏松之后出现的!
上面就是有关强直性脊柱炎的常见的并发症的介绍,患者对此应该做些了解,只有清楚这些并发症才会引起思想方面的重视,也就会积极的争取早日取得疾病的康复!强直是一种比较可怕的疾病,所以想要彻底的治疗疾病除了了解有关此病的并发症之外,对于强直的治疗方法也应该多多的关注,那么,近来又有哪些比较先进有效的治疗方法问世了呢?详情请咨询我们的医生热线028-86117707。
文章部分文字、图片、数据、视频等内容信息来源于互联网,版权归原作者所有,如有侵权请立即联系删除。