首页

强直性脊柱炎检查

主页 > 强直性脊柱炎检查 >

  • 儿童患强直性脊柱炎要接受哪些检查

    当下强直性脊柱炎不仅仅属于大人们的专利了,儿童强直性脊柱炎现 ...

  • 从症状判断强直性脊柱炎

    在生活中,有诸多不良习惯都有可能是强直性脊柱炎的爆发起因。对 ...

  • 儿童强直性脊柱炎的检查

    儿童强直性脊柱炎是一种隐蔽性比较高的疾病,它没有明显的症状, ...

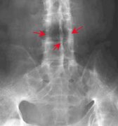
  • 强直性脊柱炎检查常用三种方法

    文章导读:不同的疾病对于检查的方法也是有不同的要求的,这应该 ...

  • 怀疑强直性脊柱炎需要做哪些检查

    其实,并不是所有的出现一些腰部或者背部不适的症状都是强直的预 ...

  • 强直性脊柱炎诊断方法是什么?

    现实生活中有很多人都知道自己患有强直,但是了解强直具体的检查 ...

  • 强直性脊柱炎的诊断标准之体征检查

    强直性脊柱炎的检查项目是有很多的,其中有关体征方面的检查就不 ...

  • HLA-B27阳性可以判定是患了强直吗

    由于强直的早期症状不是很明显,因此很容易被忽略。患者很难根据 ...

  • 强直性脊柱炎的诊断项目

    强直性脊柱炎一直都是备受关注的疾病,很多情况下并不是因为强直 ...

  • 儿童强直性脊柱炎的检查诊断

    在很多人的观念中,都会认为强直性脊柱炎是病发在老人身上的,很 ...

  • 首页
  • 上一页
  • 25
  • 26
  • 27
  • 28
  • 29
  • 30
  • 下一页
  • 末页
  • 共 30页292条

手机版 电脑版

Copyright 2011-2019 强直一线 www.nyjinqiao.com 版权所有