有人说,类风湿是“不死的癌症”,就其顽固性和经久不愈来说,应该是描述的恰如其分,一下子不会死,但是疼痛会狠狠的折磨你一辈子!不过凡事也不能这么悲观,只要进行正规积极的治疗,还是能得到有效的控制,保持长期的稳定。

失独又遇“不死癌症”,路在何方?
本期医生讲堂将提到的这位患者,身世经历非常的坎坷,失独又患上了“不死癌症”类风湿。而且仍有不少患者由于缺乏疾病防治意识、不了解类风湿疾病的症状等各种原因,导致不及时就医治疗,较终备受病痛的折磨。

医生讲解
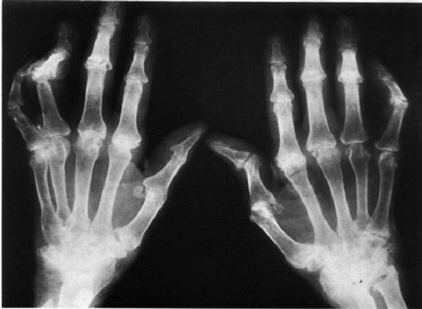
成都风湿医院风湿免疫科陈建春主任指出,类风湿是一种常见的风湿免疫性疾病,以侵蚀性关节炎为主要表现,是一种会致残的疾病,类风湿主要的特点是关节炎症状很难自愈,导致关节周围组织的破坏,出现关节肿胀、疼痛、僵硬以及活动灵活性受限,如果不合理治疗,可能导致永久性关节畸形,较后残废。

一、类风湿的危害
类风湿早期有关节红肿热痛和功能障碍,晚期关节可出现不同程度的僵硬畸形,并伴有骨和骨骼肌的萎缩,极易致残。从病理改变的角度来看,类风湿是一种主要累及关节滑膜(以后可波及到关节软骨、骨组织、关节韧带和肌键),其次为浆膜、心、肺及眼等结缔组织的广泛性炎症性疾病。类风湿的全身性表现除关节病变外,还有发热、疲乏无力、皮下结节、胸膜炎、动脉炎、周围神经病变等。广义的类风湿除关节部位的炎症病变外,还包括全身的广泛性病变。

二、防治类风湿性关节炎有要点
陈建春主任强调,由于类风湿的发生与长期受凉,尤其是过度劳累、长期做重体力活、吸烟、精神因素、长期生活在潮湿环境等因素关系密切,因此类风湿患者要注意防寒保暖,多休息,不要经常劳累,饮食也要注意尽量清淡,适当的进行锻炼对于缓解症状,改善关节功能有重要的作用。
较重要的是不要拖延治疗,出现手指等小关节对称性肿胀疼痛,很可能就是类风湿的早期症状,切记及时前往专业的风湿免疫科或是风湿专科医院进行诊治,同时进行药物治疗时,也应当听从专业医生的指导进行,避免发生危害。

(图:往期陈建春主任受邀《热线188》栏目讲解类风湿危害的视频资料)
那么类风湿还有哪些预防措施呢?该患者具体是怎么治疗的呢?陈建春主任针对这一情况又讲解了哪些类风湿治疗知识呢?请看6月21日播出的CDTV3《热线188》节目,陈建春主任进行讲解。
文章部分文字、图片、数据、视频等内容信息来源于互联网,版权归原作者所有,如有侵权请立即联系删除。